Гранулёма эпизиотомического рубца
В отделение гинекологии клиники №1 ВиТерра Беляево к врачу акушеру-гинекологу пришла на приём пациентка 26 лет, с жалобами на кровянистые выделения из влагалища при половом контакте.
Анамнез заболевания
Из анамнеза: 3 месяца назад у пациентки состоялись первые своевременные роды, вес ребёнка при рождении - 3800 г, рост - 52 см. Проведена эпизиотомия с последующим наложением шва (эпизиоррафия). На данный момент ребёнок находится на грудном вскармливании.
Диагностика и лечение
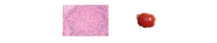
При осмотре: грануляционная ткань в области рубца после эпизиотомии.
ГРАНУЛЁМА (granuloma; лат. granulum зернышко + -oma) - ограниченный очаг воспаления, который характеризуется образованием гранулём (узелков), возникающих в результате пролиферации и трансформации способных к фагоцитозу клеток. Визуально патология похожа на некрупные узлы, представленные единично либо множественно.
Проведено лечение: удаление грануляционной ткани радиоволновым скальпелем.
Результат
По итогам назначенного лечения - пациентка полностью здорова.
