Перелом остеофита
Женщина зрелого возраста М. обратилась в отделение рентгенографии клиники №1 Витерра Беляево с пожеланием выяснить причину появления болей в стопе при ходьбе около двух недель назад.
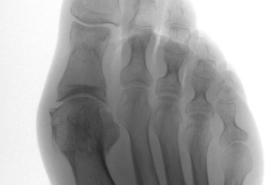
Объективно
Нарушение формы стопы обусловлено развитием hallux valgus – пресловутой «косточки на стопе», с которой успешно борются хирурги.
Разумеется, выполнены снимки области болезненности. На снимках врачом обнаружен перелом остеофита — костного разрастания, которым организм пытается увеличить площадь контакта в больном суставе.
Для радикального лечения женщина направлена в хирургическое отделение клиники Витерра.
