Профессиональная чистка зубов с отбеливанием
Пациент обратился в стоматологическое отделение клиники №1 Витерра Беляево с жалобами на изменение цвета зубов.
По результатам консультации с врачом-стоматологом пациенту назначены:
1. Процедура профилактической чистки зубов с помощью ультразвука.
2. Чистка зубов методом Air Flow.
3. Ламповое отбеливание зубов.
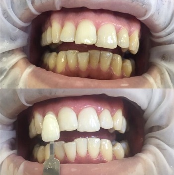
Фото 1:
На фотографии мы видим дисколорит зубов, пигментированные зубные отложения.
Фото 2:
Профилактическая чистка зубов с помощью ультразвука.
Фото 3:
Полировка зубов системой Air Flow.
Фото 4:
Изоляция десневого края с помощью жидкого кофердама.
Фото 5:
Ламповое отбеливание.
Фото 6: Итог.
Врач-стоматолог, под руководством которого проводилась данная процедура чистки зубов с последующим отбеливанием: Крутякова Ирина Станиславовна.
