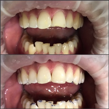
Реставрация зуба (устранение скола)
Пациент М. обратился в стоматологическое отделение клиники №1 Витерра Беляево с жалобами на скол верхнего зуба (резца).
По результатам консультации с врачом-стоматологом пациенту проведена прямая реставрация зуба композиционными материалами.
Краткое описание процедуры
- Проведено препарирование зуба 2.1;
- сформирована полость зуба, медикаментозно обработана;
- изоляция зуба и реставрация композиционным материалом Филтек Ультимейт;
- полировка зуба.
Результат хорошо заметен на фото.
Врач-стоматолог, который проводил реставрацию зуба: Кадиев Заурбек Эльбрусович.
