Аденоидит у детей. Лечение
В отделение отоларингологии клиники №1 ВиТерра Беляево к врачу-отоларингологу Рузановой И.Ю. поступил пациент А., 3 года.
Жалобы родителей на: частые насморки, периодическое посапывание в ночное время, во время насморка ребёнок жалуется на ушки.
Диагностика в ВиТерра
При ЛОР-осмотре: слизистая полости носа незначительно отёчна, слизистое отделяемое в полости носа.

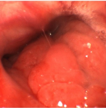
Произведена эндоскопия полости носа: выявлены аденоиды 4-й степени.
Тимпанометрия: тип с с двух сторон (наличие стеноза/закупорки слуховых труб), за счёт аденоидной вегетации 4-й степени.
Диагноз: аденоидит 4-й степени. Двусторонний евстахиит.
Лечение
Назначена симптоматическая гормональная терапия на протяжении 1 месяца, проводился курс санации носоглотки по Проетцу, внутриносовая лазеротерапия, после чего произведено КТ носоглотки, где аденоидные вегетации 2-3 степени.

Результат
Тимпанометрия тип А, проходимость евстахиевых труб восстановлена. Ребёнок в течение месяца дышит исключительно носом, посапывания нет.
