Увеличение правой доли щитовидной железы, с наличием диффузных кальцинатов в структуре
В рентген кабинет клиники №1 ВиТерра Беляево, к врачу-рентгенологу Монгушу Д.В., обратился пациент А., 78 лет: жалобы на одышку.
Исследование
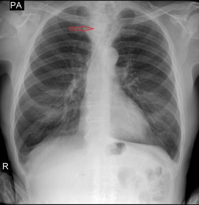
Пациенту была выполнена рентгенография органов грудной полости сначала в прямой проекции, и при подозрении на наличие дополнительной тени, была выполнена боковая проекция.

Протокол исследования:
При анализе, полученных изображений была выявлена тень, которая смещала трахею кпереди и влево, размерами 35х40х44 мм. Рекомендовано дообследование в КТ-кабинете.


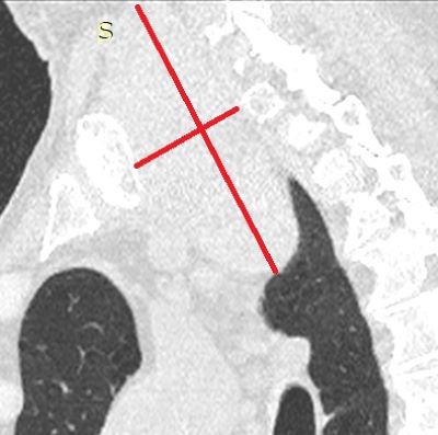
После выполнения МСКТ органов грудной полости на полученных изображениях была выявлена увеличенная правая доля щитовидной железы.
Заключение:

Увеличение правой доли щитовидной железы, с наличием диффузных кальцинатов в структуре.
Была рекомендована консультация эндокринолога, УЗИ щитовидной железы, при необходимости - КТ с внутривенным контрастным усилением.

