КТ-картина вторичного туберкулёза. Перелом ребра справа
Клинический случай
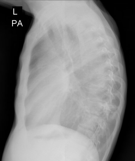
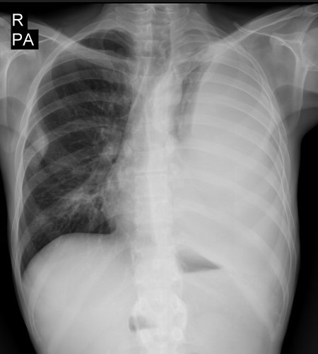
В клинику №1 ВиТерра Беляево обратился пациент, 42 года, с целью провести рентгенографию органов грудной клетки. На приёме у доктора пациент предъявлял жалобы на кашель с мокротой, затруднённое дыхание, повышение температуры тела, беспокоящие его на протяжении последнего месяца. Также отмечались слабость, повышенная утомляемость при физической нагрузке.Первое исследование
Врачом-рентгенологом Якушевой И.А. было выполнено исследование грудной клетки в 2-х проекциях.
На руки пациенту были выданы: CD-диск с записью проведённого исследования, заверенный печатями клиники протокол исследования на официальном бланке клиники.
Была рекомендована срочная госпитализация в стационар, и консультация пульмонолога для дальнейшего лечения.
Повторное исследование
Через 5 месяцев этот же пациент обратился в клинику ВиТерра к доктору Монгушу Д.В. для прохождения МСКТ-исследования органов грудной клетки. Со слов пациента, он некоторое время находился в стационаре, самовольно ушёл из него по неотложным обстоятельствам и для продолжения лечения и оценки состояния пневмонии и гидроторакса запланировал проведение нового исследования, т.к. жалобы сохранялись.В клинике №1 ВиТерра Беляево была выполнена мультиспиральная компьютерная томография органов грудной клетки без контрастного усиления на современном 128-срезовом спиральном компьютерном томографе фирмы PHILIPS.



Расшифровка снимков
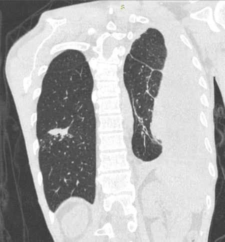
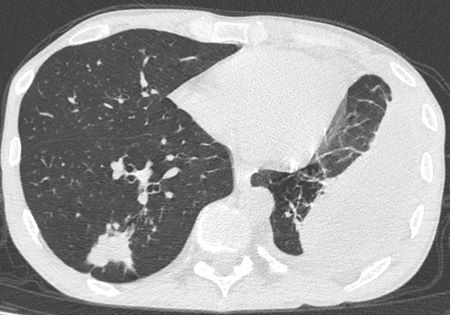
При исследовании в верхушке левого лёгкого было выявлено, субплеврально, полостное образование с толстыми стенками (толщиной до 3,5 мм) с нечёткими и неровными контурами, с прилежанием к костальной плевре на широком основании, размерами 26х22 мм. Вокруг данного образования определялся участок консолидации с прослеживающимися, суженными, деформированными просветами бронхов. Каудальнее образования и участка консолидации определялись хаотично расположенные очаги размером до 7 мм. В S1-2 левого лёгкого субплеврально определялось округлое образование с чёткими, неровными контурами с прилежанием к костальной плевре, размером до 11 мм. В левой плевральной полости жидкостное содержимое с максимальной сепарацией листков плевры до 54 мм, на этом фоне листки плевры были уплотнены, утолщены до 7 мм. На фоне жидкостного содержимого в плевральной полости, в паренхиме левого лёгкого отмечались множественные линейные фиброзные тяжи. В S6, S9 правого лёгкого, перибронховаскулярно, определялись множественные очаги по типу «дерева в почках» (размером до 6 мм), сливающиеся между собой с формированием участка консолидации размером до 27 мм. Кроме того, в правом лёгком определялись множественные мелкие центрилобулярные и субплеварльные очаги уплотнения размером до 4 мм.
Отмечался перелом переднего отрезка 5-го ребра справа с формированием диастаза между отломками до10 мм. В окружающих мягких тканях мелкие костные структуры размером до 2 мм.Заключение
С учетом анамнеза и данных МСКТ-исследования было вынесено заключение КТ-картины полостного образования в верхушке левого лёгкого, с наличием участка консолидации, очагов отсева в верхней доле левого лёгкого, субплеврального образования в верхней доле левого лёгкого, левостороннего плеврального выпота, с признаками утолщения листков плевры, фиброзных изменений левого лёгкого, очагов по типу «дерева в почках» с формированием участка консолидации в нижней доле правого лёгкого (данные изменения, вероятно, соответствуют проявлениям вторичного туберкулёза, дифференцированного с периферическим образованием с признаками вторичных изменений. Перелом переднего отрезка 5-го ребра справа.
На руки пациенту были выданы: DVD-диск с записью проведённого исследования, заверенный печатями клиники протокол исследования на официальном бланке клиники.
Была рекомендована срочная госпитализация в стационар, консультация фтизиатра, онколога, пульмонолога для дальнейшего лечения.
КТ-исследования в клинике №1 ВиТерра Беляево проводятся на 128-срезовом компьютерном томографе фирмы PHILIPS, начало эксплуатации аппарата - декабрь 2021 года. Длительность процедуры компьютерной томографии без контрастного усиления не превышает 5-10 минут (зависит от конкретных диагностических задач). Выдача протокола исследования, заключения производится в день обращения на руки пациенту, либо отправляется на адрес электронной почты пациента. На составление протокола исследования, формирование заключения требуется в среднем 10-30 минут. Приём пациентов осуществляется по электронной очереди.
приемлемая, адекватная, зависит от вида исследования.
