
Эффективно удалить расширенную сеть капилляров, например, на бедрах, довольно трудно, а зачастую и попросту невозможно. После операции вен женщины бывают недовольны оставшимся косметическим дефектом – сетью расширенных капилляров на коже.
Цены на услуги
| ELOS удаление сосудистых звездочек | 1 140 руб. за 1 вспышку |
Технология ELOS
При лечении расширенных капилляров с применением технологии ELOS, их просвет под воздействием высокой температуры уменьшается, и при этом не повреждаются окружающие ткани. Содержащийся в крови гемоглобин поглощает свет лазерного луча, который превращается в тепловую энергию, поэтому на внутренней стенке сосудов повышается локальная температура. В результате этого уменьшается сопротивление нагретых тканей, и они на короткое время становятся проводниками энергии радиочастот. Энергия радиочастот, протекая от одного электрода к другому, также преобразуется в тепловую энергию, которая и уничтожает структуры, абсорбировавшие (поглотившие) свет лазера.
Кровь имеет очень высокую электропроводимость. Вследствие нагрева, вызванного комбинированным воздействием оптического лазера и радиочастотного источника, сосуд нагревается до температуры, достаточной для постоянного повреждения адвентициальной оболочки и эндотелия, приводящего к рубцеванию или исчезновению сосуда. Происходящий здесь термолиз обеспечивает желаемый результат – сосуд спаивается, его просвет закупоривается, позднее зарастает соединительной тканью, и таким образом, кровообращение прекращается. При отсутствии кровообращения в расширенном сосуде, он постепенно бледнеет и исчезает.
После ELOS-процедуры
Рекомендуются эластическая компрессия (колготы Medi I, 2 функциональный класс компрессии) и флеботоническая терапия.
Преимущества
Преимуществом применения ELOS-технологии является отсутствие таких серьёзных осложнений, как венозные тромбозы и тромбофлебиты, гиперпигментация и некроз кожи.
Результат чаще всего достигается по прошествии 4 – 8 недель после лечения. Обычно требуются три процедуры через каждые 6 – 8 недель, однако результат лечения и количество процедур зависит от хода болезни, возраста пациента, наличия кожных изменений, генетических факторов и факторов окружающей среды, соблюдения рекомендаций специалиста, а также от индивидуальной реакции организма на лечение. При определенном индивидуальном генетическом, гормональном состоянии организма может не получиться достичь желаемого результата.
При помощи технологии ELOS можно лечить:
- расширенные до 1 – 4 мм поверхностные вены ног и капиллярную сеть;
- поверхностные телангиэктазии на ногах, лице или в любой другой части тела;
- ангиомы.
Противопоказания к применению процедур:
- Беременность;
- Онкологические (раковые) заболевания во время выполнения процедуры;
- Тяжелые, некомпенсированные заболевания внутренних органов, неконтролируемый диабет;
- Болезни, на ход которых могут оказать воздействие волны интенсивного света (лазера): системная красная волчанка, порфирия, эпилепсия;
- Ослабление иммунной системы в результате AIDS, HIV или применения лекарств, подавляющих иммунную систему (иммуносупрессантов);
- Нарушения свертываемости крови (риск усиления кровотечения из-за коагулопатий), применение лекарств, понижающих свертываемость крови (антикоагулянтов);
- Аллергия на свет и/или солнце;
- Инфекция, вызванная вирусом герпеса, или инфекция другого происхождения с нарушением целостности кожи (экзема, псориаз и пр.) в области применения процедуры;
- Применение ретиноидов (синтетических препаратов вит. A) в течение последних 6-ти месяцев;
- Применение в течение последнего месяца антибиотиков группы тетрациклинов или других медикаментов, повышающих чувствительность кожи к свету, а также медикаментов, во время приема которых нельзя применять лечение светом;
- Келоидные (разросшиеся) рубцы, предраковые состояния кожи или пигментные образования неизвестного происхождения в области применения лечения;
- При лечении области лица – выполненная в течение прошедших двух недель химическая или механическая шлифовка кожи (пилинг);
- Наличие стимулятора сердечной деятельности или дефибриллятора.
Ожидаемые явления
1. Потемнение сосудистого образования или вены сразу после лечения;
2. Покраснение, припухлость кожи в области применения лечения;
3. Редко – волдыри, язвы, струпья или рубцы, изменение цвета кожи.
Подготовка к процедуре:
Перед процедурой необходимо тщательно очистить кожу в области применения лечения, сбрить волосы.
Рекомендации после ELOS-лечения сосудистых дефектов:
- 2-3 недели после процедуры рекомендуется избегать попадания на кожу прямых солнечных лучей. Если это невозможно – в течение данного периода необходимо применять крем с высоким солнцезащитным фактором.
- В течение 72-х часов не посещать солярии, бани, инфракрасные и др. сауны, не принимать горячие ванны, не париться в бане – избегать нагревания.
- Три дня после процедуры нельзя активно заниматься спортом.
Если потребуются повторные ELOS-процедуры, их необходимо повторять с указанными врачом интервалами.
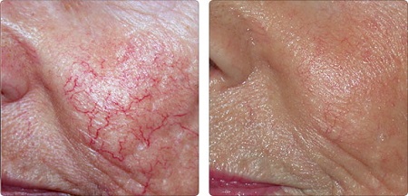
ELOS удаление сосудов - фото до и после





