КТ-обследование для уточнения изменений со стороны мочевыделительной системы
По направлению врача-уролога, пациент К. был отправлен на обследование в кабинет МСКТ клиники №1 ВиТерра Беляево, для уточнения изменений со стороны мочевыделительной системы, т.к. пациент жаловался на почечную колику.
Было проведено исследование МСКТ МВС с контрастированием:
Из протокола исследования:
Почки обычно расположены.
Паренхиматозный слой почек не истончён, с чёткой кортико-медуллярной дифференциацией слоёв. Дополнительных объёмных и очаговых образований в почках, а также дефектов контрастирования в паренхиме, не определяется. Паранефральная клетчатка с обеих сторон не изменена.
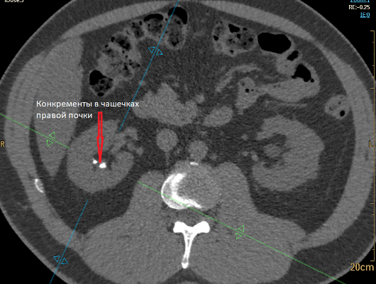
Функция почек своевременная. ЧЛС почек правильно сформирована, не расширена. Мочеточники обеих почек на уровнях сканирования не расширены. В ЧЛС правой почки видны конкременты – в нижней и средней группах чашечек (два), размерами до 3-6 мм (показатели плотности до 800 HU). На уровне средней трети левого мочеточника, в его просвете, определяется конкремент 5х3 мм, после контрастирования в выделительной фазе отмечается омывание конкремента, дистальные отделы мочеточника прослеживаются.


На уровнях сканирования печень сниженной плотности (до 27 HU).
Заключение:
РКТ-картина конкрементов в нижней и средней группе чашечек правой почки; конкремента в просвете левого мочеточника. КТ-признаки жирового гепатоза.
Рекомендации:
Повторная консультация врача-уролога.
