
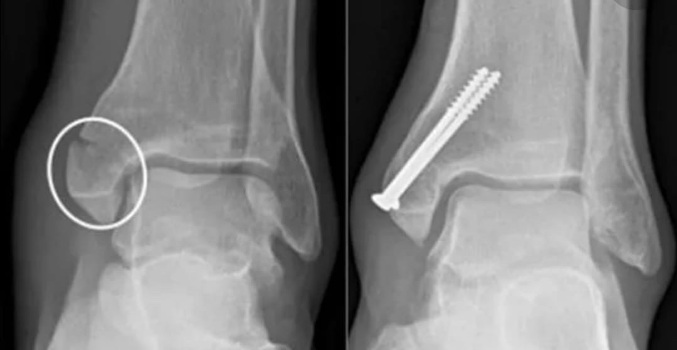
ОСТЕОСИНТЕЗ - это хирургический метод лечения переломов костей, при котором костные отломки фиксируются друг с другом при помощи специальных металлических конструкций (спицы, винты, штифты, гвозди).



Данная методика позволяет восстановить целостность костей в короткие сроки.
Стандартными методами лечения переломов является наложение пластиковой (гипсовой) лангеты.
Преимущества метода:
Использование данных металлоконструкций позволит обеспечить быстрое возвращение пациента к привычной жизни и сохранит его подвижность в процессе восстановления.


Остеосинтез может проводиться как сразу после получения травмы (первичный остеосинтез), так и спустя более 12 часов после получения травмы (отсроченный остеосинтез).
Вид металлоконструкции и способ её установки подбираются врачом травматологом-ортопедом индивидуально.
Травматологи-ортопеды клиники №1 ВиТерра Беляево работают с металлоконструкциями (винты\спицы).
Цены на услуги в клинике ВиТерра:
Остеосинтез 1 степени сложности — 5 000 руб.
Остеосинтез 2 степени сложности — 10 000 руб.
Остеосинтез 3 степени сложности — 15 000 руб.


