Клинический случай впервые выявленной тромбоэмболии ветвей лёгочной артерии у молодого пациента
Пациент И., 1986 года рождения, обратился в клинику №1 ВиТерра Беляево (частным порядком) с жалобами на умеренно выраженную одышку, частый кашель с небольшой светлой мокротой, на общую слабость. Повышения температуры, болей в груди не отмечал. Пациент обратился с целью выполнить рентгенографию органов грудной клетки для исключения воспалительных изменений в лёгких.
Обследование
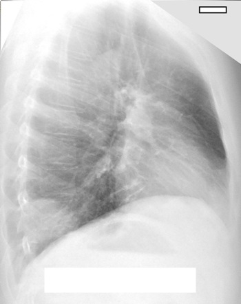
Доктором-рентгенологом, КТ-диагностом Кушман М.А. пациенту была выполнена рентгенография органов грудной клетки в прямой и боковой проекциях.

Расшифровка снимков
На рентгенограммах был обнаружен участок неоднородного понижения прозрачности лёгочной ткани правого лёгкого. Данные изменения были трактованы, как правосторонняя нижнедолевая сегментарная пневмония.
Рекомендации
Были даны рекомендации обратиться за медицинской помощью к терапевту и, при наличии клинических показаний, выполнить компьютерную томографию органов грудной клетки.
Пациент был консультирован пульмонологом. Дополнительно пульмонологом в анамнезе был выявлен факт наличия болей в левом коленном суставе, в икроножной мышце левой нижней конечности, которые появились примерно месяц назад до появления кашлевого синдрома.
Дообследование
С учётом вновь выявившихся обстоятельств, сразу же пациенту было выполнено дуплексное сканирование вен нижней конечности, в результате чего был выявлен флотирующий тромб в просвете подколенной вены.Также была выполнена компьютерная томография органов грудной клетки с контрастированием. По результатам КТ выявлена тромбоэмболия ветвей лёгочных артерий обоих лёгких, инфаркт пневмония правого лёгкого. Причиной тромбоэмболии стал тромбоз глубоких вен левой нижней конечности.
