Мочекаменная болезнь, конкремент правого мочеточника, многократная почечная колика. Амбулаторное выведение камня (без госпитализации в стационар)
На приём к врачу урологу-андрологу Стерхову Д.Ю. в клинику №1 ВиТерра Беляево обратился пациент А., 1990 г.р., с жалобами на интенсивные, приступообразные, тупые боли в правом боку, подвздошной области, отдающие в мошонку и иногда сопровождающиеся тошнотой.
Из анамнеза
Приступы начались 5 дней назад, неоднократно вызывал СМП, после инъекций спазмолитиков и анальгетиков - отмечал временное улучшение.
Обследование в ВиТерра
В клинике проведено обследование - физикальное, лабораторное и инструментальное.
По результатам:
при пальпации - выраженная болезненность в правой подвздошной области, положительный с-м сотрясения справа;
ОАМ - оксалатурия, микрогематурия, протеинурия;
ОАК - лимфоцитоз, в крови умеренно повышен креатинин.
На обзорной урографии - рентгенпозитивный конкремент в проекции н\3 правого мочеточника.
По УЗИ - правосторонняя пиелоэктазия, умеренная уретероэктазия в в\3 справа. Умеренные диффузные изменения, увеличение размеров предстательной железы.
Диагноз: МКБ, конкремент н\3 правого мочеточника. Почечная колика справа.
Лечение
Назначены спазмолитики, альфа адреноблокатор, анальгетики, диуретик, НПВС, уролитики.
Пациенту проведена блокада по Лорин-Эпштейну.
Результаты
После динамического наблюдения в течение трёх дней пациент А., 1990 г.р., отмечает перемещение болей из правой подвздошной области в нижнюю часть живота, колющие боли в правом боку сохраняются. Дважды была почечная колика.
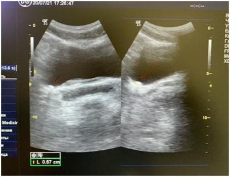
По УЗИ - конкремент размером 6 мм визуализируется в н\3 правого мочеточника.
Лечение усилено ежедневными процедурами акустической стимуляции аппаратом Интрафон-3 в условиях клиники, проведены ещё две блокады по Лорин-Эпштейну справа.
Через 2 дня лечения: по УЗИ - конкремент определяется в устье правого мочеточника.
После пятой процедуры акустической стимуляции на аппарате Интрафон-3 по УЗИ - конкремент лоцируется в полости мочевого пузыря, пиелоэктазия справа отсутствует, пациент отмечает исчезновение болей в правом боку.
Также пациент А. всё время с начала лечения отмечал отхождение мелких образований до 1 мм с мочой.
Через день конкремент вышел самостоятельно в виде россыпи тёмно-коричневых твёрдых элементов от 1 до 2 мм.
По результатам контрольного обследования: ОАМ, ОАК, б\х показатели - в норме, по УЗИ - конкрементов в почках и мочевом пузыре нет.
Рекомендации
Пациенту рекомендовано контрольное обследование через 6 месяцев и диспансерное наблюдение уролога один раз в год, профилактика и метафилактика мочекаменной болезни.
-
Случаи из практики отделения акушерства-гинекологии
- Сочетанная урогенитальная инфекция (хламидиоз и ВПЧ) у пациентки репродуктивного возраста
- Медикаментозное прерывание нежелательной беременности
- Лечение половых инфекций методом конизации шейки матки
- Склерозирующий лихен
- Нормализация гормонального фона и подготовка к беременности и родам у пациентки с избыточной массой тела (случай из практики)
- Лечение урогенитальной хламидийной инфекции после незащищённого полового контакта
- Непроходимость и гидросальпинкс маточной трубы (при установлении причин невозможности пациентки забеременеть)
- Операция - пластика влагалища. Клинический случай, рекомендации к проведению
- Удаление полипа матки. Планирование беременности
- Киста жёлтого тела яичника. Лечение
- Петлевая биопсия шейки матки
- Эндометриоидная киста. Лечение
- Кондиломатоз вульвы. Лечение
- Плазмолифтинг в гинекологии
- Планирование беременности (женщина 35 лет)
- Гранулёма эпизиотомического рубца
- Синдром хронической тазовой боли, ассоциированный с хронической герпес-вирусной инфекцией
- Коррекция спайки задней стенки влагалища
- Гиперплазия эндометрия. Лечение
- Гормональный дисбаланс. Лечение
- Извлечение турунды (перевязочный материал) после операции по удалению бартолиновой кисты
- Лечение полипа цервикального канала
- Случай успешного применения и последующего удаления подкожного имплантата для контрацепции
- Клинический случай лечения синехий наружных половых органов у пациентки в постменопаузе
- Удаление кисты бартолиновой железы с одномоментной лабиопластикой
- Клинический случай лечения рецидивирующего полипа эндометрия
- Папиллома шейки матки
- Пременопауза. Климактерический синдром. Атрофический кольпит
- Клинический случай ИППП, ВПЧ и СПКЯ (синдром поликистозных яичников)
- ВПЧ инфицирование
- Неразвивающаяся беременность
- Полип полости матки
-
Случаи из практики отделения проктологии
- Послеоперационная рубцовая стриктура анального канала
- Рубцовая деформация анального канала, хроническая анальная трещина
- Геморроидальный узел. Лечение
- Наружный тромбированный геморрой, осложнённый кровотечением
- Разрыв задней стенки анального канала
- Выпадение геморроидального узла. Хирургическое лечение
- Хронический наружный геморрой, внутренний геморрой 2-я стадия. Хирургическое лечение
- Острый парапроктит
- Лазерное иссечение анальной трещины (пациентка Б., 55 лет)
- Лечение тромбоза геморроидального узла (пациент Н., 33 года)
- Лечение остроконечных кондилом. Комбинированная операция - криодеструкция, иссечение кондилом радиоволновым скальпелем (пациент М., 23 года)
- Лечение парапроктита, вскрытие острого парапроктита, иссечение свища (пациент Б., 59 лет)
-
Случаи из практики отделения отоларингологии
- Диагностика и лечение медикаментозного (вазомоторного) ринита у пациентки 34 лет
- Киста основной пазухи
- Синдром обструктивного апноэ сна (СОАС) средней степени. Лечение
- Изолированная врождённая правосторонняя костно-мембранозная частичная атрезия хоан у ребёнка
- Инородное тело гортани (ребёнок). Удаление
- Инородное тело (пломбировочный материал-?) при КТ ОНП. Случай из практики
- Аденоидит у детей. Лечение
- Вазомоторный ринит, нейро-вегетативная форма
- Доброкачественное образование ЛОР-органов
- Инородное тело в носу у ребенка 3 лет.
- Атрофический ринит
- Инородное тело (вата) в слуховом проходе. Клинический случай
- Кость от рыбы, застрявшая в глотке пациента. Клинический случай
- Случай лечения острого полисинусита, вазомоторного ринита, осложнённых искривлением перегородки носа
- Вазотомия нижних носовых раковин для облегчения процесса носового дыхания
- Удаление серных пробок
- Перфорация барабанной перепонки. Клинический случай
- Пункция в/ч пазух носа при гнойном синусите. Клинический случай и рекомендации
- Хронический тонзиллит. Клинический случай и общие рекомендации
- Лазерная коагуляция миндалин
- Травма барабанной перепонки
- Полипозный синусит
- Грибковое поражение барабанной перепонки
- Травма наружного слухового прохода
- Храп и аденоидные вегетации у ребенка. Лечение
- Гастроэзофагеальная рефлюксная болезнь. Лечение
- Одонтогенный гайморит. Лечение
- Острый тонзиллит. Лечение
- Острый гнойный полисинусит. Лечение
- Фурункул наружного слухового прохода. Лечение
- Наружный отит
- Двухсторонняя заложенность ушей после авиаперелета
- Аденоидные вегетации 3 ст. у ребёнка 6 лет
- Инородное тело (кость) в гортани
- Хронический тонзиллит
- Аденоиды. Лечение
- Перфорация барабанной перепонки
- Гайморит. Приговор к пункции или нет?
- Гемангиома гортани. Лечение
- Остеома лобной пазухи
- Перфорация барабанной перепонки. Лечение
- Медикаментозный ринит. Лечение
- Наружный отит. Лечение в клинике ВиТерра.
- Извлечение инородного тела (насекомого) из слухового прохода
- Вазомоторный (медикаментозный) ринит. Лечение в клинике ВиТерра.
- Инородное тело в полости носа ребенка
- Эндоскопическая аденотомия
- Лечение хронического вазомоторного ринита или жизнь без нафтизина!
- Лечение хронического тонзиллита
- Лечение острого гайморита
- Лечение острого гнойного среднего отита
- Лечение гнойного гайморита безпункционным методом с помощью синус – катетера ЯМИК (пациент К., 18 лет)
-
Случаи из практики отделения хирургии
- Резекция ногтевой пластины на пальце ноги (радиоволновой скальпель + СО2-лазер)
- Удаление крупной атеромы брюшной стенки
- Лечение постинъекцинных некрозов дермы и подкожной клетчатки
- Секторальная резекция левой молочной железы по поводу крупной фиброаденомы
- Лечение эпикондилита ударно-волновой терапией
- Удаление крупной липомы спины
- Хирургическое лечение вросшего ногтя путем применения радиоволнового скальпеля и СО2-лазера
- Лечение пяточной шпоры радиальной ударно-волновой терапией
- Хирургическое лечение доброкачественных новообразований (липома спины)
- Нагноившаяся атерома аксиллярной области справа
- Келоидный рубец левой кисти
- Вросший ноготь 1-го пальца правой стопы
- Подошвенная бородавка 2-го пальца правой стопы
- Атерома передней поверхности шеи справа
- Клинический случай лечения пупочной грыжи
- Случаи из практики отделения косметологии
-
Случаи из практики центра флебологии ВиТерра
- Результат лечения трофической язвы методом радиочастотной облитерации Closure FAST (РЧА) на левой нижней конечности.
- Клинический случай успешного лечения ХВН, осложнённой множественными ретикулярными притоками, телеангиоэктазиями слева и справа
- Клинический случай успешного лечения варикозного расширения вен нижних конечностей с выраженной симптоматикой венозной недостаточности
- Лечение варикозного расширения подкожных вен правой нижней конечности с выраженной симптоматикой венозной недостаточности
- Лечение варикозного расширения вен правой нижней конечности, осложнённого псориазом
- Результат лечения варикозного расширения вен правой нижней конечности по технологии Biolitec
- Оперативное лечение запущенной стадии варикозной болезни обеих ног у пациентки по технологии Biolitec
- Клинический случай лечения венозной недостаточности правой нижней конечности, как следствие рецидива варикозной болезни подкожных вен правой нижней конечности после хиургического лечения
- Варикозная болезнь нижних конечностей. Лечение
- Удаление некрасивых вен на руках (склеротерапия вен на руках)
- Примеры удаления сосудов на лице, в области крыльев носа и на подбородке неодимовым лазером
- Результат лечения расширенных сосудов на лице (у мужчин)
- Клинический случай склеротерапии поверхностных вен кистей рук
- Клинический случай диагностики тромбоза глубоких вен
- Результат лечения варикозного расширения вен на обеих нижних конечностях
- Удаление крупных сосудов периорбитальной области с помощью неодимового лазера
- Удаление сосудов в области носа лазером Дека
- Удаление сосудов на носу и подбородочной области с помощью лазера Дека
- Варикозно расширенные вены на правой нижней конечности
- Эндовазальная лазерная коагуляция (Biolitec) c расширенной минифлебэктомией по Варади
- Клинический случай успешного лечения варикозного расширения вен с запущенной трофической язвой
- Успешное лечение тромбофлебита лазером по технологии Biolitec. Острый тромбофлебит поверхностной вены
- Результат лечения варикозной болезни. Фото до и после процедуры эндовазальной лазерной облитерации
- Результат лечения трофической экземы методом эндовазальной лазерной облитерации (ЭВЛК) на левой нижней конечности
- Результат лечения острого тромбофлебита радиочастотной облитерацией (РЧА) на левой нижней конечности.
- Результат лечения варикозной болезни после процедуры эндовазальной лазерной облитерации (ЭВЛК)
- Результат лечения варикоза. Фото до и после процедуры радиочастотной облитерации Closure FAST (РЧА) на обеих нижних конечностях
-
Случаи из практики отделения стоматологии
- Восстановление прикуса, ортопедические реставрации, протезирование коронками и винирами
- Выпала временная коронка, что делать?
- Аллергические реакции пациентов на препараты в стоматологии
- Зубы и курение
- Травмы зубов
- Глоссалгия
- Операция по удалению корня зуба
- Штифтово-культевые вкладки
- Заеды (ангулит)
- Патологическая стираемость зубов
- Временное протезирование зубов
- Иммедиат-протез
- Фиссурный кариес
- Сверхкомплектные 9-е зубы
- Афтозный стоматит
- Продольная трещина зуба
- Профилактическая чистка всей полости рта
- Удаление 8-х зубов ("зубов мудрости")
- Лечение эрозии эмали
- Пульпит. Лечение
- Лечение кровоточивости десен и устранение болезненности зубов
- Профилактическая чистка зубов по технологии Air-Flow
- Восстановление зуба керамической вкладкой Empress
- Замена старой коронки на новую
- Реставрация зуба (устранение скола)
- Профессиональная чистка зубов с отбеливанием
- Средний кариес
- Поверхностный кариес
- Глубокий кариес
-
Случаи из практики отделения урологии
- Лечение хронического простатита с использованием ударно-волновой терапии и PRP-терапии
- Комбинированное безоперационное увеличение толщины ствола полового члена препаратом полимолочной кислоты PowerFill и головки полового члена препаратом гиалуроновой кислоты Estefill Intim
- Безоперационное увеличение толщины полового члена препаратом гиалуроновой кислоты Estefill Intim
- Аугментация больших половых губ и парауретральное введение аутоплазмы (PRP– терапия)
- Лечение хронического рецидивирующего эпидидимита
- Хронический простатит или СХТБ (синдром хронической тазовой боли) – диагностика и комплексное лечение с применением физиотерапии
- Мочекаменная болезнь - комплексное лечение с применением акустической стимуляции аппаратом "Интрафон-3"
- Применение фокусированной УВТ при лечении болезни Пейрони
- Курсовое применение фокусированной УВТ на область полового члена (триггерные зоны, места выходов сосудов и нервов) для восстановления эректильной функции
- Сочетанное применение фокусированной УВТ и экстендера PenyMaster Chrome для восстановления качественной эрекции и поддержания половой функции мужчины на высоком уровне
- PRP-терапия (плазмолифтинг) хронического рецидивирующего неспецифического уретрита
- Выведение конкремента из почек методом акустической стимуляции на аппарате Интрафон-3
- Курсовое лечение множественных фиброзных бляшек и выпрямление полового члена методами сочетанной УВТ- и ЛОД-терапии
- Мочекаменная болезнь, конкремент правого мочеточника, многократная почечная колика. Амбулаторное выведение камня (без госпитализации в стационар)
- Хронический простатит как причина рецидивирующего цистита у полового партнера. Лечение и профилактика
- Безоперационное лечение преждевременного семяизвержения (ПВСИ) препаратом гиалуроновой кислоты
- Вазэктомия (двусторонняя вазорезекция)
- Физиотерапевтические процедуры в комплексном лечении камней нижней трети левого мочеточника (результат - самостоятельное отхождение конкремента)
- Лечение тромбоза дорсальной вены полового члена методами тромболитической и противовоспалительной терапии
- Комплексная терапия при болезни Пейрони ( УВТ + Пейрофлекс + экстендер PeniMaster Chrome )
- Болезнь Пейрони и острый тромбоз дорсальной вены полового члена
- Безоперационное лечение стрессового недержания мочи (недержание мочи при напряжении) препаратами гиалуроновой кислоты
- Лечение эректильной дисфункции обогащенной тромбоцитами плазмой (PRP-терапия, плазмотерапия в урологии P-SHOT)
- Увеличение полового члена Juvederm Ultra 3 (Allergan, Франция)
- Безоперационное увеличение полового члена
- Лечение преждевременной (ранней) эякуляции препаратами гиалуроновой кислоты (введение SURGIDERM в головку полового члена)
- Безоперационное лечение МКБ (мочекаменной болезни)
- Лечение синдрома хронической тазовой боли (СХТБ) фокусированной ударно-волновой терапией (Low-intensity extracorporeal shock wave therapy)
- Комплексное лечение мочекаменной болезни
- Фокусированная ударно-волновая терапия (УВТ) эректильной дисфункции на фоне хронического калькулезного простатита и сахарного диабета второго типа
- Комплексная терапия ДГПЖ и калькулезного простатита,осложненных инфекцией мочевыводящих путей и почечной недостаточностью
- Хронический конгестивный простатит и везикулит. Возрастной андрогенный дефицит. Пиодермия
- Сфокусированная и радиальная ударно-волновая терапия в лечении хронического простатита (СХТБ)
- Лечение хронического конгестивного простатита
- Камни в почках и мочеточнике
- Аденома простаты. Хронический простатит в фазе обострения, мочекаменная болезнь, возрастной андрогенодефицит
- Киста правого надпочечника
- Дивертикул мочевого пузыря
- Возрастной андрогенный дефицит
- Недержание мочи, ГАМП (гиперреактивный мочевой пузырь)
- Хронический цистит
- Почечная колика слева
- Лечение эректильной дисфункции
- Лечение ИППП
- Лечение простатита
- Камень мочеточника
- Недержание мочи
- Уретроцистоскопия
-
Случаи из практики отделения лучевой диагностики
- Увеличение правой доли щитовидной железы, с наличием диффузных кальцинатов в структуре
- Полисегментарная пневмония
- Травма (распил) ногтевой фаланги 1 пальца правой стопы
- Аномалия Киммерле
- "Болезнь королей" (или подагра)
- Коксартроз
- Инородное тело брюшной полости
- Абсцесс лёгкого (абсцедирующая пневмония)
- Аномалия Киммерли
- Сактосальпинкс
- Инородное тело или история о пропавшей туфельке
- Левосторонний пневмоторакс
- Болезнь Кинбека-Прейзера
- Спонтанный пневмоторакс
- "Пушечное ядро" - метастазы в легкие злокачественного образования
- Определение возрастных и половых различий скелета
- Остеосаркома (злокачественная опухоль кости)
- Саркоидоз легких
- Туберкулез легких
- Гистеросальпингография. Непроходимость маточной трубы. Женское бесплодие
- Сакрализация. Spina bifida (posterior). Сколиоз. Врожденная аномалия пояснично-крестцового отдела позвоночника
- Пневмония (воспаление легких)
- Воспалительные заболевания пазух носа
- Болезнь Осгуда-Шлаттера
- Миеломная болезнь
- Аденоиды
- Остеохондроз 1 степени шейного отдела позвоночника
- Нарушения соотношения дисков и признаки смещения 5-го поясничного позвонка
- Отдельно лежащий отломок крючковидной кости запястья
- Острый гнойный процесс в гайморовой пазухе
- Поясничный остеохондроз, признаки задней протрузии дисков и… камень правой почки
- Перелом остеофита
- Перелом шиловидного отростка локтевой кости
- Подозрение на рак груди
-
Случаи из практики отделения травматологии
- Лечение частичного разрыва сухожилия надостной мышцы с помощью SVF
- Лечение коксартроза 2 стадии с помощью SVF
- Клинический случай применения SVF при остеоартрозе коленного сустава
- Лечение дефекта хряща коленного сустава
- Клинический случай лечения артроза коленного сустава
- Плантарный фасциит (пяточная шпора). Продольно-поперечное плоскостопие 2ст. обеих стоп
- Оперативное лечение множественных травматических повреждений конечностей у пациентки после падения
- Лечение гонартроза коленного сустава
- Оперативное лечение закрытого перелома пястной кости кисти со смещением
- Удаление клеща
- Повреждение сухожилия кисти (мышцы разгибателя пальцев). Оперативное лечение
- Закрытый перелом локтевого отростка справа со смещением. Оперативное лечение
- Операция по удалению пластины и винтов из голени (после перелома)
- Перелом надколенника. Оперативное лечение
- Посттравматический синовит правого коленного сустава
- Ушибленная рваная рана верхней трети левой голени
- Закрытый вывих правого плечевого сустава
- Закрытый перелом внутренней лодыжки правой голени со смещением отломков
- Правосторонний гонартроз 2 степени
-
Случаи из практики отделения офтальмологии
- Проверка и коррекция зрения у пациентки, плохо видящей на один глаз
- Коррекция лечения ребёнка с диагнозом аметропия (носит спец. лечебные очки)
- Понижение зрения у пациентки. Обследование и лечение
- Миопия (близорукость) слабой степени. Своевременная диагностика и лечение
- Острый иридоциклит одонтогенной этиологии
- Лечение внутреннего гордеолума (ячмень)
- Кератит. Лечение
- Тереть глаза вредно и опасно
- Инородное тело роговицы. Удаление
- Удаление инородного тела из роговицы
- Лечение пигментной абиотрофии сетчатки глаз при беременности
- Лечение снижения зрения у ребенка, вызванного анизометропической амблиопией и гиперметропией глаз
- Лечение паралитического косоглазия, вызванного саркоидозом
-
Случаи из практики отделения терапии
- ОРВИ, осложнившаяся синуситом и бронхитом
- Туберкулёз
- Эрозивный эзофагит. Случай выявления и лечения
- Нарушение глотательного рефлекса
- Инфекционный мононуклеоз. Случай лечения
- Киста шеи. Диагностика и лечение
- Осложнения дифтерии. Необходимость ревакцинации от дифтерии для взрослых
- Обострение хронического течения вирусной инфекции Эпштейн-Барра
- Вакцинация от клещевого энцефалита перед выездом в неблагоприятный в эпидемиологическом отношении район
- Выявление коклюша и вакцинация
- Проведение Диаскинтеста для исключения туберкулёзного процесса в организме
- Персистирующая инфекция вирусом Эпштейна-Барр в стадии реактивации, хронический тонзиллофарингит
- Аллергический ринит
- Гипертоническая болезнь III стадии
- Нарушения обмена веществ
- ОРВИ, осложненная правосторонней бронхопневмонией
- Внебольничная пневмония с сопутствующей бронхоэктатической болезнью и бронхиальной астмой
- Впервые выявленный синдром Жильбера
- Инфекционный мононуклеоз - лечение
-
Случаи из практики отделения УЗИ диагностики
- Диагностика острого аппендицита на УЗИ органов брюшной полости
- Пролапс митрального клапана на Эхо-КГ
- Признаки гипертонической макроангиопатии на УЗИ сосудов шеи и головы
- Аплазия левой доли щитовидной железы (у мужчины)
- УЗИ-картина при выявлении пупочной грыжи
- УЗИ-картина гнойного абсцесса правой молочной железы
- УЗИ-картина поджелудочной железы в норме
- УЗИ почки девушки 17 лет - норма, что встречается очень редко
- УЗИ простой кисты паренхимы правой почки
- УЗИ-картина при дискинезии желчевыводящих путей
- УЗИ-картина многоузлового зоба у женщины
- Узи-картина узлового зоба правой доли щитовидной железы
- УЗИ-картина узлового образования правой доли щитовидной железы
- УЗИ осложнённой кисты правой почки
- УЗИ-картина образования правой молочной железы
- Тиреотоксикоз на основе УЗИ щитовидной железы и данных лабораторных исследований
- Конкремент левого мочеточника по данным экскреторной урографии
- Эхографические признаки варикоцеле слева
- Эхо-признаки объемного образования правого яичника
- УЗИ скрининг при беременности
- Случаи из практики отделения эндокринологии
- Случаи из практики отделения психотерапии
-
Случаи из практики отделения мануальной терапии
- Постизометрическая релаксация грушевидной мышцы при болях в ягодичной области с иррадиацией в бедро
- Мануальная терапия дорсопатии шейного отдела позвоночника, постизотметрическая релаксация мышц шеи и плечевого пояса
- Мануальная терапия при дорсопатии пояснично-крестцового отдела позвоночника, купирование болевого синдрома
- Мануальная терапия при сколиотической деформации позвоночника
- Скаленус-синдром (синдром передней лестничной мышцы)
- Миофасциальный синдром (МФС)
-
Случаи из практики отделения дерматологии
- Микоз гладкой кожи
- Иссечение вирусной папилломы в области волосистой части головы
- Болезнь Лайма. Лечение
- Периоральный дерматит (на фоне использования неподходящей косметики). Лечение
- Коррекция формы и объёма губ препаратом Surgiderm 24xp 0,8 ml
- Красный плоский лишай. Синдром Гриншпана-Потекаева
- Онихомикоз. Лечение
- Лечение псориаза
- Лечение гемангиомы на теле
- Удаление сосудистых образований на лице радиоволновым методом на аппарате Сургитрон
- Лечение угревой болезни (юноша, 19 лет)
- Лечение дерматологического заболевания кожи кистей
- Лечение очагового выпадения волос у пациентки
- Лечение абсцесса околоушной области и предушного свища у ребёнка (4 года)
- Удаление образования радиоволновым методом
- Лечение пеленочного дерматита у грудного ребенка (1,5 мес.)
- Удаление сосудов в области носа лазером Дека
- Коррекция формы, контура губ, носогубной области с помощью гиалуроновой кислоты
- Удаление сосудов на носу и подбородочной области с помощью лазера Дека
- Коррекция формы и объёма губ препаратом Surgiderm 24 xp. Объём 0,8 мл.
- Коррекция формы и объема губ с одновременным увлажнением и приподнятием их уголков. Уменьшение глубины носогубных складок
- Коррекция мимических морщин у женщин (Диспорт)
- Коррекция мимических морщин у мужчин (Диспорт)
- Коррекция носогубной области гиалуроновой кислотой Surgiderm 30xр
- Коррекция глубоких носогубных складок (Рестилайн)
- Коррекция формы и объёма губ препаратом гиалуроновой кислоты (Surgiderm 24xp)
- Коррекция носогубной и подбородочной области препаратом гиалуроновой кислоты Surgiderm 30 xp
- Лечение стероидозависимой розацеа
- Коррекция мимических морщин инъекциями
- Коррекция формы губ с приданием им дополнительного объема и подъемом опущенных уголков рта
- Омоложение периоральной области и придание объема губам
- Увеличение объема губ с сохранением максимальной естественности
- Увеличение и увлажнение губ. Коррекция глубоких носогубных складок
- Коррекция глубоких носогубных складок. Исправление формы и лечение сухости губ
- Эстетическая коррекция морщин области лба
- Коррекция мимических морщин межбровной области
- Эстетическая коррекция носогубных складок. Изменение формы и объема губ
- Коррекция носослезной борозды
- Коррекция носогубных складок. Контурная пластика носогубной области
- Случаи из практики отделения трихологии
- Случаи из практики отделения физиотерапии
- Случаи из практики отделения педиатрии
- Случаи из практики отделения кардиологии
-
Случаи из практики отделения неврологии
- Дорсопатия шейного отдела позвоночника. Лечение
- Неврит правого лицевого нерва. Лечение
- Дорсопатия поясничного отдела позвоночника. Грыжа межпозвоночного диска
- Энурез у детей
- Головные боли напряжения (на фоне болей в шее с иррадиацией в левую руку)
- Грыжи межпозвонкового диска
- Нарушение мозгового кровообращения
- Ушиб головного мозга средней степени тяжести
-
Случаи из практики отделения аллергологии
- Хронический ринит с носительством условно-патогенной микрофлоры. Практика иммунотерапии. Клинический случай.
- Содержание редких животных в домашних условиях. Диагностическая проблема клинической аллергологии. Клинический случай.
- Возможности премедикации и модификации схемы сублингвальной аллерген-специфической иммунотерапии у пациента в высокой степенью сенсибилизации к пыльце березы. Клинический случай.
- Обострение атопического дерматита у взрослого пациента после периода длительной ремиссии
- Случай сочетания полипозного риносинусита и аллергического ринита
- Аллергия на пиявки
- Герпес
- Инсектная аллергия
- Острая крапивница у ребенка
- Сублингвальная аллерген-специфическая иммунотерапия (АСИТ) аллергеном пыльцы березы
-
Случаи из практики УВТ
- Лечение эпикондилита методом УВТ (ударно-волновой терапией)
- Фокусированная ударно-волновая терапия (УВТ) при лечении эректильной дисфункции
- Применение методики УВТ при хроническом простатите. Мультидисциплинарный подход к диагностике и лечению
- Лечение эректильной дисфункции
- Лечение эректильной дисфункции (ЭД) экстракорпоральной фокусированной ударно-волновой терапией
- Лечение синдрома теннисного локтя с помощью ударно-волновой терапии
- Болезнь Пейрони - лечение ударно-волновой терапией
- Пяточная шпора - лечение УВТ на аппарате Storz Medical AG - DUOLITH SD1 T-TOP «F-SW ULTRA»
- Лечение хронического простатита, синдрома хронической тазовой боли с применением ударно-волновой терапии
- Эффективное лечение болезни Пейрони с помощью ударно-волновой терапии на аппарате Duolith SD1 Т-Тор «F-SW ultra»
- Курс УВТ для лечения хронического простатита, аденомы простаты, мочекаменной болезни у пациента 56 лет
- Синдром щёлкающего пальца: исследование подтверждает эффективность радиальной ударно-волновой терапии
- Хронические диабетические язвы стопы
-
Случаи из практики лечения болезни Пейрони
- Пример комплексного физиотерапевтического и медикаментозного лечения фибропластической индурации полового члена (болезни Пейрони)
- Консервативное лечение болезни Пейрони фокусированной УВТ (Low-intensity extracorporeal shock wave therapy) на фоне субкомпенсированного диабета 2 типа и андрогенного дефицита
- Лечение болезни Пейрони (экстендер Андропейрони + УВТ)
- УВТ при болезни Пейрони
- Консервативное лечение болезни Пейрони
- Болезнь Пейрони (фибропластическая индурация полового члена) - лечение фокусированной ударно-волновой терапией
- Эффективное лечение болезни Пейрони с помощью ударно-волновой терапии на аппарате Duolith SD1 Т-Тор «F-SW ultra»
- Болезнь Пейрони - лечение ударно-волновой терапией
- Случаи из практики лечения климактерического горбика
- Случаи из практики болезнь Меньера
- Случаи из практики лечения кератодермии
- Случаи из практики отделения гастроэнтерологии
-
Случаи из практики отделения вакцинопрофилактики
- Осложнения дифтерии. Необходимость ревакцинации от дифтерии для взрослых
- Проведение Диаскинтеста для исключения туберкулёзного процесса в организме
- Профилактика ветряной оспы вакциной "Варилрикс"
- Случай повторного заболевания скарлатиной
- Вакцинация от клещевого энцефалита перед выездом в неблагоприятный в эпидемиологическом отношении район
- Выявление коклюша и вакцинация
- Случаи из практики отделения эндоскопии
-
Случаи из практики КТ
- Двусторонняя полисегментарная пневмония верхнедолевая
- Левосторонняя полисегментарная пневмония
- Инфильтративный туберкулёз с распадом
- КТ-картина вторичного туберкулёза. Перелом ребра справа
- Интерстициальная пневмония (ИИП)
- Идиопатический лёгочный фиброз (ИЛФ)
- Двусторонний верхнечелюстной синусит. КТ-картина образования левой носовой полости
- КТ-картина образования крестца и очагового изменения правой подвздошной кости
- КТ-обследование для подтверждения диагноза: Хронический бронхит. Пневмосклероз
- Выявление опухолевого узла в лёгком
- COVID-пневмония на СКТ органов грудной полости
- Клинический случай вирусной пневмонии
- Выявление аномалии развития почек - подковообразной почки
- КТ-обследование для уточнения изменений со стороны мочевыделительной системы
- КТ при выявлении ЛОР-заболеваний
- Клинический случай впервые выявленной тромбоэмболии ветвей лёгочной артерии у молодого пациента
- Мочекаменная болезнь (МКБ)
- Киста правой почки
- Случаи из практики Массаж
- Случаи из практики отделения фониатрии
-
Случаи из практики отделения Сурдологии
- Лечение двустороннего снижения слуха у пациентки
- Обследование состояния слуха у ребёнка методом КСВП
- Слухопротезирование внутриканальными слуховыми аппаратами фирмы Siemens (Signia) (модель Insio 5px CIC)
- Проведение КСВП у ребёнка. IV степень тугоухости с обеих сторон
- Профессиональный подбор слухового аппарата в ВиТерра
- Случаи из практики PRP-терапия
- Случаи из практики SVF терапия
